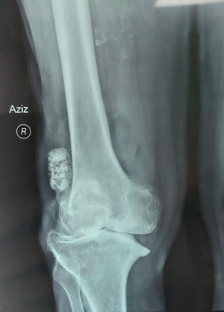
اجرى فرق طبي جراحي عملية جراحية نوعية لرجل يبلغ من العمر ٦٥ سنة يعاني من سوفان شديد وعدم استقرار في الركبه وصعوبة في الحركه وتقوس في الساقين و بعد إجراء الفحوصات الشعاعية اللازمة
اجريت له العملية الجراحية
والمريض الان بحالة جيدة و الحمد لله.
وتألف الفريق الجراحي كلا من اخصائي جراحة العظام والكسور د. هادي عبدالله و د. فريد السوداني و د. يوسف علاء و اخصائي التخدير د قاسم عبدالله .
كل الشكر والتقدير للكادر الطبي و التمريضي الذي ساهم بإنجاح هذه العملية الجراحية .




