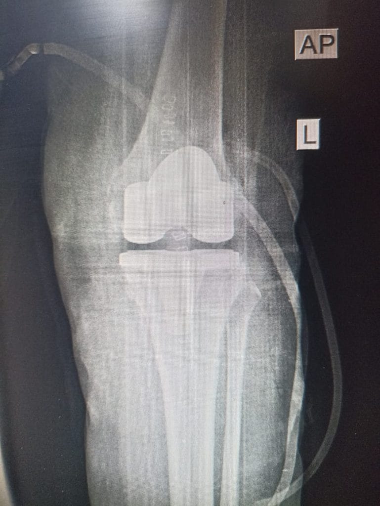
اجرى فريق طبي جراحي في مركز ابن سينا التخصصي لجراحة العظام والكسور و تبديل المفاصل عملية تبديل مفصل الركبه اليسرى لمريضة تبلغ من العمر 59 سنة
بتأريخ 2022/10/31 راجعت المريضة استشارية العظام والكسور في مستشفى ابن سينا التدريبي وكانت تعاني من ألم شديد في مفصل الركبه اليسرى ، وبعد اجراء الفحوصات السريرية والمختبرية والشعاعية تبين انها تعاني من سوفان شديد و تحدد في مفصل الركبه اليسرى .
اجريت لها العملية الجراحية والمريضة الان بحالة جيدة و الحمد لله.
وتألف الفريق الطبي الجراحي كلاً من د. حسن هادي و د. يوسف علاء و د. فراس فؤاد اختصاص جراحة العظام و الكسور و د قاسم عبدالله اخصائي التخدير .
كل الشكر والتقدير للكادر الطبي و التمريضي الذي ساهم بإنجاح هذ العملية الجراحية .


