فريق طبي جراحي في مستشفى ابن سينا يجري عملية نوعية و معقدة لتبديل مفصل الورك .
فريق طبي جراحي في مستشفى ابن سينا يجري عملية نوعية و معقدة لتبديل مفصل الورك .
اجرى فريق طبي جراحي في مركز ابن سينا التخصصي لجراحة العظام والكسور و تبديل المفاصل عملية تبديل مفصل ورك معقد...
مستشفى ابن سينا تقيم دورة تدريبية بعنوان (طرائق التدريس في المجال الطبي)
وزارة الصحة تنظم دورة تدريبية بعنوان (طرائق التدريس في المجال الطبي) بالتعاون مع مستشفى ابن سينا التدريبي...
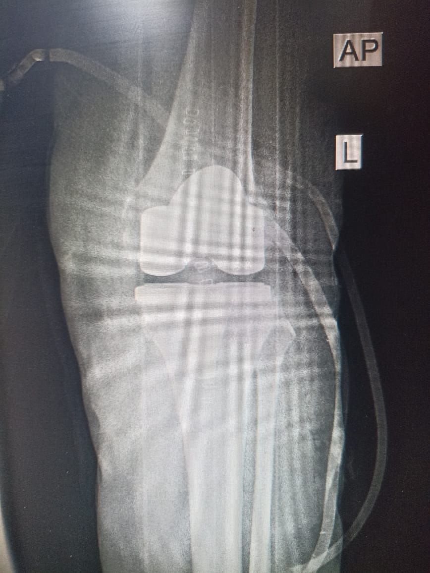
فريق طبي جراحي في مستشفى ابن سينا يجري عملية نوعية معقدة لمريضة تعاني من سوفان شديد في الركبه .
اجرى فريق طبي جراحي في مركز ابن سينا التخصصي لجراحة العظام والكسور و تبديل المفاصل عملية تبديل مفصل...
فريق طبي جراحي في مستشفى ابن سينا يجري عملية نوعية لمريضة تعاني من سوفان شديد في الركبه .
اجرى فريق طبي جراحي في مركز ابن سينا التخصصي لجراحة العظام والكسور و تبديل المفاصل عملية تبديل مفصل...
مستشفى ابن سينا تستقدم فريق طبي أجنبي متخصص في جراحة العمود الفقري .
استناداً الى توجيهات معالي وزير الصحة الدكتور هاني موسى العقابي المحترم بتقديم افضل الخدمات الطبية...
استعداداً لفصل الشتاء .. نصائح للحفاظ على صحتك
نصائح طبية لقدوم الشتاء من شأنها أن تكون نصائح للتغذية أو لقضاء شتاء صحي خالي من الأمراض، فعلى الرغم من الطقس...
مستشفى ابن سينا تستقدم فريق طبي اجنبي متخصص في جراحة العمود الفقري
استناداً الى توجيهات معالي وزير الصحة الدكتور هاني موسى العقابي المحترم بتقديم افضل الخدمات الطبية...
مستشفى ابن سينا تستقدم فريق طبي تركي متخصص في جراحة تشوهات العمود الفقري
استناداً الى توجيهات معالي وزير الصحة الدكتور هاني موسى العقابي المحترم بتقديم افضل الخدمات الطبية...

